En Ardos sabemos lo que realmente importa: respuestas oportunas, orientación experta y análisis precisos con valor clínico real. Por eso ofrecemos un servicio diagnóstico integral, realizado por un equipo de patólogos que combina años de experiencia con un enfoque colaborativo y centrado en cada paciente. Todos nuestros estudios son procesados en un solo laboratorio, garantizando trazabilidad y control de calidad en cada paso. Nuestro equipo está conformado por patólogos veterinarios egresados.

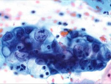
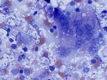
Diagnóstico citopalógico de lesiones cutáneas, subcutáneas o intracavitarias.

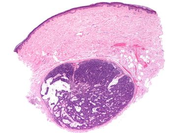
Diagnóstico histopalógico de lesiones cutáneas, subcutáneas, intracavitarias u órganos.

Diagnóstico citopatológico de líquidos corporales, efusiones, lavados y obtenidos de lesiones cutáneas, subcutáneas o intracavitarias.

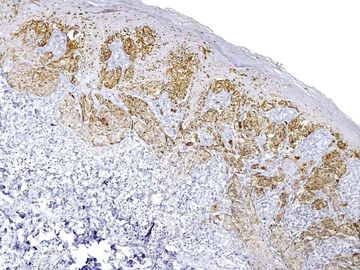
Diagnóstico inmunohistoquímico con una gran variedad de marcadores antigénicos para lesiones cutáneas, subcutáneas, intracavitarias u órganos.

El diagnóstico molecular por PCR permite detectar material genético específico (ADN o ARN) de agentes infecciosos, mutaciones tumorales o reordenamientos genéticos.
Patología digital avanzada para obtener resultados oportunos, precisos, y con atención personalizada. Nos especializamos en estudios citopatológicos, histopatológicos, inmunohistoquímicos y moleculares, siempre con informes precisos y detallados.

Comunícate con nosotros al contacto@ardoslab.com si no puedes encontrar una respuesta a tu pregunta.
En Ardos Laboratorio Veterinario, ofrecemos una variedad de servicios veterinarios, incluyendo citología, biopsia, inmunohistoquímca y PCR.
Para hacer una cita en Ardos Laboratorio Veterinario, puede llamarnos al número proporcionado en nuestra página de contacto o utilizar nuestro formulario de citas en línea.
Primero debes estar registrado en nuestro portal, para esto es necesario completar el formulario de registro que puedes solicitar en admon@ardoslab.com
Precisión, calidad y atención en forma de informes de resultados completos que incluyen una descripción detallada, hallazgos y comentarios relevantes del patólogo sobre cada caso.